当前位置: 首页>中药美肤┃变白变美变漂亮!收好这份芳草里的美肤秘籍~
春季万物复苏,草木发芽,大家忍不住跑到户外拥抱春天,感受万物生长、草木萌发。但是紫外线、树粉花粉以及微生物等也使颜面部皮肤病逐渐呈高发趋势。
皮肤病尤其注重外治疗法,正所谓“外科之法,最重外治”。诸多典籍也记载了大量的治疗皮肤病或者美容的方剂,如《太平圣惠方》、《圣济总录》里面便有近百首类似方剂。
接下来我们就一起来探讨中草药在一些颜面部皮肤病的美肤秘籍吧。
1、七白散
又名七子白,七白子,七白粉,是古代宫廷的养颜秘方。最早收录于宋代的《太平圣惠方》,在元代的《御药院方》中也有记载。
由中药白蔹、白及、白芍、白僵蚕、白术、白茯苓、白蒺藜组成,具有美白嫩肤,养血柔肝之效,长期使用可淡化面部黯斑和色素沉着,使肌肤胜雪,美艳动人。
如果你有黄褐斑、雀斑、面部发黄、发暗、痤疮后色素沉着、晒黑等问题困扰都可以使用七白散。
中医有一个最重要的理论就是以色取色,这几味药均为白色粉末,因而在调理肌肤增白的同时,亦对面部瑕疵可以起到遮掩的作用。被草本滋养的容颜,有着天然去雕饰的美!因此,七白散成为了古今爱美人士的佳选。

2、玉肌散
玉肌散方出自《太医院秘藏膏丸散方剂》,由白芷、滑石、白附子、绿豆粉组成,功能主治一切风湿雀斑、酒刺、白屑风、皮肤作痒者。是古代宫廷美容妙方,不但名字很美,而且美容功效显著。
为什么叫玉肌散?玉是指纯洁透明,滋润光泽,这里用来形容人体面部皮肤面白美丽。玉肌,就是说能够让肌肤冰清玉洁,如玉般光洁。白芷气味芳香,质极滑润,和利血脉,宫中常作为美容药使用,可治皮肤粗涩发黑,外用可使局部血管扩张,改善血液循环,从而促进皮肤色素吸收,同时滋润皮肤。

白附子主面上百病,《日华子本草》讲,面部有黑斑有斑渍可用白附子。滑石是佐药能通毛孔,有时候人的这个脸面看上去不那么光彩,也有毛孔堵塞的原因在里头,毛孔一打开,里面的脏东西随着汗液往外排,它就不会一直堵在那里,毛孔粗大,皮肤粗糙问题就迎刃而解了。滑石这味药它不会很粗暴,它是轻轻的,温柔的把我们的毛孔打开,用一个词来形容叫轻抚皮毛。绿豆是使药,大家一定很好奇,豆子怎么还能用来美容?明代的《本草纲目》就有用黄豆敷面美肤的记载。而绿豆则可以“厚肠胃,润皮肤”,这是从中医的角度来讲,现代研究认为绿豆可以清洁肌肤,能把皮肤表面的污垢吸附掉。

如果您经常风吹日晒,满面尘土,疮疤多的,暗疮多的,雀斑多的,或者有皮肤瘙痒这些问题,都可以用玉肌散使皮肤光洁如玉,面如凝脂。
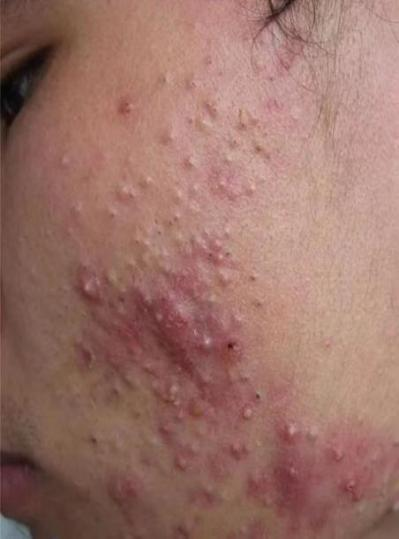
3、颠倒散
颠倒散是治疗痤疮的经典外用方剂,由大黄、硫磺组成,出自清代新安医家吴谦的《医宗金鉴》。方中大黄味苦性寒,有清热解毒的作用;而硫黄味辛性温,杀虫止痒;两药寒热颠倒,故曰颠倒散。
中医学认为,痤疮的发生与肺胃血热、感受外邪风热有关。颠倒散全方具有凉血活血,解毒杀虫之功效,对痤疮有很好的针对治疗效果,当然也适用于酒糟鼻及脂溢性皮炎。

痤疮多发生于中青年,不仅影响患者的美观,且给患者造成了一定的心理负担,颠倒散能够起到溶解角质、抑制皮脂分泌、抗菌消炎、收敛、通透和软化的作用,如果您脸上长了痤疮,除了口服药物外,外治也是相当重要的,清理完粉刺后敷上颠倒散面膜,20分钟后洗掉,皮肤会光光滑滑,清清爽爽。

4、金黄散
在中医的世界里,金黄散是一种古老而神奇的中药制剂。它由天花粉、大黄、黄柏、姜黄、白芷、厚朴、陈皮、冰片、甘草组成,具有清热解毒、消肿止痛的功效,用于热毒瘀滞肌肤所致疮疡肿痛、丹毒流注,肌肤红、肿、热、痛。
优米app下载ios金黄散是在中医外科经典名方如意金黄散基础上加减得来,最早详细记载出于明代陈实功编著的《外科正宗》,“凡外科一切诸般顽恶肿毒,随手用之,无不应效”。

金黄散用途颇为广泛。凭借其多种中药成分的协同作用,能治疗湿疹及一切疮疡肿痛,水火烫伤,毛囊炎,脂溢性皮炎,甲沟炎,哺乳期妇女乳头皴裂,肛周脓肿,外痔等,为我们的健康保驾护航。
5、褚实散
褚实散来源于元代《御药院方》,全方由褚实、土瓜根及商陆组成,外敷具有延年,抗衰、悦泽颜容之作用,临床上主要用于憔悴衰老。
以褚实为例,它是一味常用的抗衰老、养生与美容中药,古代不少本草书籍中有记载。如"主阴瘘水肿,益气,充肌肤,明目"(《名医别录》),此所言充肌肤作用,实际上就包含了对肌肤的充养丽容作用;《本草蒙签·卷之四·木部·褚实》就褚实子在养生与美容方面的作用进行了说明:"充肌肤,助腰膝,益气力,补虚劳。悦颜色轻身,壮筋骨明目……赤者频服,不老不饥,筋力倍增,行及奔马。并载经注,决无欺人。

好啦,今天芳草里的美肤秘籍就介绍到这里,都说清水出芙蓉,天然去雕饰,关注本草、让您的美丽与芳草同行,从内而外回归自然之美。
专家介绍

单霄
主治医师 医学硕士
医疗美容主诊医师,皮肤激光美容组长
擅长各种损美性皮肤病的诊断与治疗:如炎症性皮肤病如痤疮、毛囊炎等;色素增加性皮肤病如黄褐斑、色素痣、各种纹身等;色素减少性皮肤病如白癜风等;血管性皮肤病如血管瘤、红血丝等;皮肤敏感;皮肤老化性病变如脂溢性角化、老年斑、皱纹等;各种疤痕修复;各种皮肤赘生物如疣等。