当前位置: 首页>妇科医话┃保留子宫祛除病痛 子宫腺肌病病灶切除术
您是否被痛经困扰?被诊断为:子宫腺肌病,尝试过上环、打针、吃药等各种治疗方法,但还是效果不好,痛得不行。对于特别严重的子宫腺肌病,子宫切除术仿佛成了唯一选择。不过,对于想保留子宫的您,子宫腺肌病病灶切除术也许能帮到您。

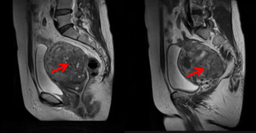
认识子宫腺肌病
子宫腺肌病是子宫内膜腺体和间质异常侵入子宫肌层形成的疾病。简单来说就是子宫内膜跑到不该去的地方,钻到子宫肌层里面去了。子宫壁里面长出一些不该有的内膜组织,让子宫壁变厚变硬,就会出现各种症状,如痛经、月经量多、不孕等等。
近年来子宫腺肌病发病率越来越高,发病年龄也越来越早。为啥会得这个病?这可能跟流产次数多、剖宫产、经期经血逆流等有关。该病对女性的生育能力和生活质量有较大威胁,严重影响工作和社交,甚至也会影响心情,引发心理疾病。
子宫腺肌病病灶切除术
子宫腺肌病的治疗方式有多种,如放置曼月乐环、服用地诺孕素、采用假绝经疗法以及中医治疗等。如果这些手段因各自局限未能达到预期效果,特别是面对严重病情时,传统的解决方案往往倾向于子宫切除。但对于众多女性患者而言,切除子宫是一个难以接受的选择,尽管她们长期遭受痛经等症状的困扰。
子宫腺肌病病灶切除术为渴望保留子宫的患者提供了全新的治疗途径。该方案不仅能够精准地去除病灶区域,有效缓解相关症状,更重要的是,它尊重并保护了女性的子宫,满足了患者的特殊需求。
哪些患者适合病灶切除术?
1.保守治疗失败者 药物治疗或介入/射频技术保守治疗无效或失败的生育年龄女性。
2.反复助孕失败者 辅助生殖技术助孕失败≥2次,需解除病灶对胚胎着床的干扰的患者。

3.假绝经针无效者 打了“假绝经针”子宫未缩小,提示药物难以控制病情。
4.病灶局限者 腺肌病灶边界相对清晰,手术可精准切除。
5.子宫显著增大者 子宫体积较大,尤其是子宫大于孕3个月以上,同时伴有贫血和(或)严重疼痛,估计药物或介入等技术治疗不能获得有效治疗。
精准祛病 保留子宫
子宫腺肌病病灶切除术通过直接去除病灶组织,能够迅速达到治疗目的。不仅有效降低了术后的复发风险,还保留了子宫器官的完整性,使得患者在短期内即可观察到显著的症状改善。
手术并未破坏子宫的整体结构,术后患者发生盆腔脏器脱垂的风险不会增加。同时,手术也避免了损伤卵巢的血供,对患者的影响降到最低。子宫腺肌病病灶切除术能够最大限度地保留其生育能力,为患者未来的家庭规划提供可能。这不仅是一种医疗上的选择,更是对患者未来生活质量的一种保障。
专家介绍

蒋小飞
妇科二病区主任
主任中医师
医学博士 硕士生导师
江苏省第三批老米优最新版本专家学术经验继承人。毕业于南京米优最新版本大学,师从江苏省名中医周惠芳教授,先后于北京安贞医院、北大肿瘤医院、西班牙巴塞罗那MTC进修学习。主攻宫腔镜、腹腔镜在妇科疾病中的诊断与治疗。
擅长妇科良恶性肿瘤、HPV感染、子宫内膜异位症、月经不调、慢性盆腔炎、盆底功能不全、尿失禁等疾病的中西医结合治疗。主持多项省、市级科研课题,发表专业学术论文10余篇,其中SCI论文5篇。
专家门诊时间:周二上午、周五下午