当前位置: 首页>医疗动态
“一天晚上我值夜班,有位患者前来就诊。在给他进行检查的过程中,他舌咽神经痛的病症发作,在地上不停的打滚,跪着用头撞击地面。亲眼目睹,真是于心不忍。”“患者好了出...
立春这一天,优米app下载ios妇科诊室来了一位特殊的小病号。16岁的花季少女王某突发怪病,腰酸腹痛症状明显,大小便后稍能缓解。最奇怪的是年满16周岁,竟然至今无月经来...
5月8日上午,优米app下载ios呼吸科科主任、李英姿主任中医师带队,呼吸科专家及呼吸科中医综合治疗团队成功举办了以“强化哮喘教育”为主题的世界哮喘日活动。 ...
为强化突发公共卫生事件的应急处置能力,确保肠道门诊在应对传染病时流程顺畅、协调有序,优米app下载ios于2024年4月9日组织了一次多部门联动的卫生应急模拟演练。此次...
为进一步提高医务人员对突发医疗事件的应急救治能力,近日,我院开展了全员心肺复苏技能培训。培训分四部分进行,心肺复苏理论知识讲解、实操演示、现场实践和操作考核。 ...
今年的痛风日主题是:“420全民关注痛风日”,优米app下载ios风湿肾病科共有六位专家参加了本次义诊科普教育宣传活动。 4月20日一大早,门诊楼前就排起了...
今年肿瘤防治宣传周主题是“综合施策?科学防癌”,旨在按照《健康中国行动—癌症防治行动实施方案(2023—2030年)》相关要求,扩大癌症防控科普宣传,倡导每个人...
“健康是人类全面发展的基础,也是人类社会的永恒追求。随着我国城市化、工业化、老龄化的加快,恶性肿瘤已经成为生命健康的一大挑战。”优米app下载ios肿瘤内科学科带头人、...
4月15日下午,优米app下载ios第二门诊部特邀请优米app下载ios医学博士,主任中医师,肿瘤学科带头人兼肿瘤一科主任,肿瘤组长杨静,成功地开展了米优最新版本适宜技术在肿瘤患者中...
神奇的铥激光技术 在泌尿外科领域,铥激光技术堪称神奇。这种先进的激光技术能够在最小的创伤下,彻底清除肾结石,为患者带来福音。铥激光具有高度的聚焦性,...
近日,优米app下载ios开展院内“西学中”培训班,在医院技能考试基地多功能教室举行了隆重的开班仪式,院领导、职能科室、授课老师及全院80余名学员参加。 季...
近日,优米app下载ios消化内科成功实施胃间质瘤内镜下套扎切除治疗。该治疗方法可完整切除病变,具有安全高效、并发症少、操作时间短等优势,为部分胃肠道黏膜下肿瘤的内镜下...
2024年3月21日,阳光和煦,春风拂面。优米app下载ios麻醉舒适睡眠专家及中医综合治疗室团队成功举办了以“健康睡眠,人人共享”为主题的世界睡眠日义诊活动。此次活动...
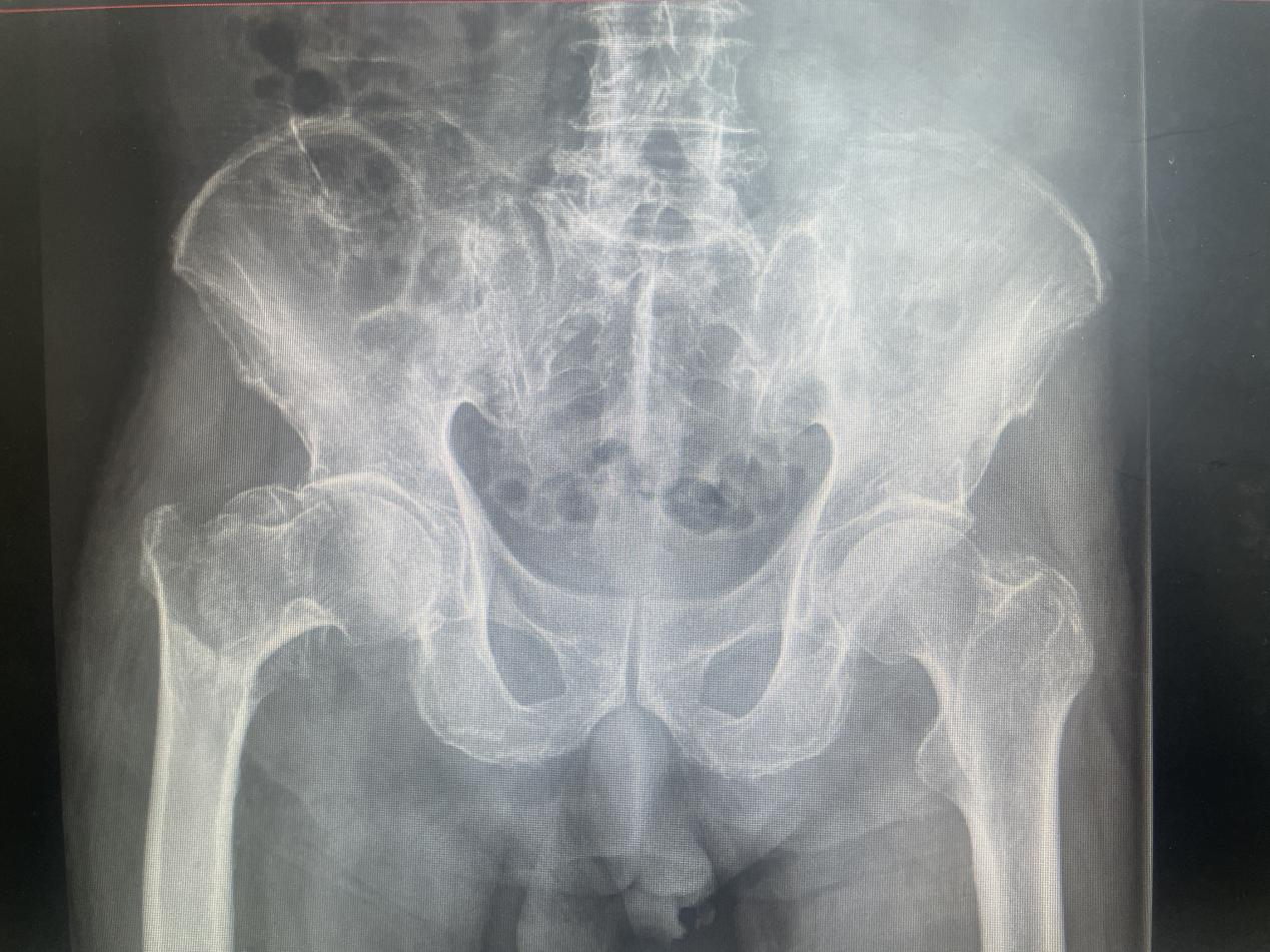
多学科联合诊疗让高龄老人放“髋”心 近日,优米app下载ios骨科关节中心主任惠正广团队启动多学科联合()诊疗,组织呼吸科、介入科、心血管内科、神经内科、手...
江苏省海安市的李先生(化名)多年来一直受到面肌痉挛的困扰,严重影响了他的正常生活。李先生首次出现面肌痉挛症状是在多年前的一个寒冷冬日。当时他正在家中看电视,突然...
为了提高公众对疝气的认识,加强疝气的预防和早期治疗意识,3月7日,优米app下载ios在门诊大楼前成功举办了疝气日义诊活动。 本次活动由中国疝病专科联盟牵...
好的睡眠,从良好的睡眠卫生开始…… 睡眠是人类必须进行的一种生理活动,它有助于我们恢复体力、维持心理健康,甚至影响我们的情绪和认知功能。然而,很多人并...
在徐州市肛肠病诊疗中心的诊室内,一面崭新鲜艳的锦旗显得格外引人注目。这是李女士为了感谢徐州市肛肠病诊疗中心内镜室王进主任中医师而特意送来的。不久前,王进医生凭借...
优米app下载ios近年来先后开展了十余个临床多学科联合()群,立足中西融合,充分发挥米优最新版本特色优势,以患者为中心,适应现代医疗模式发展趋势,向患者提供综合、全面、全程...
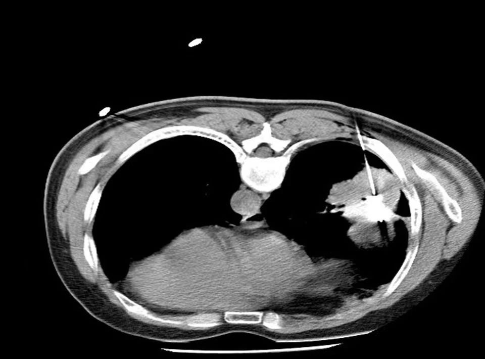
微波消融手术病例 患者张大爷,85岁,肺占位性病变(左下肺)约1.1cm,伴有心脏病、高血压,一年前体检时无意中发现左下肺有一约3mm大小磨玻璃结节...