咨询电话: 8008288120
医院地址:徐州市中山南路169号
痤疮治疗中心当前位置: 首页>痤疮治疗中心

利用铒激光联合点阵技术治疗痤疮和痤疮瘢痕

来源:优米app下载ios皮肤科 最后更新时间:2018年1月25日

   近年来,求美者对于安全有效的治疗痤疮和痤疮瘢痕皮肤的修复提出了越来越高的要求

   现在就请大家跟随优米app下载ios皮肤科激光美容的专家来欣赏一下修复痤疮疤痕的神奇效果吧~

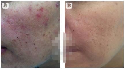
1 3次治疗前(A)后(B)活跃痤疮和痤疮瘢痕情况


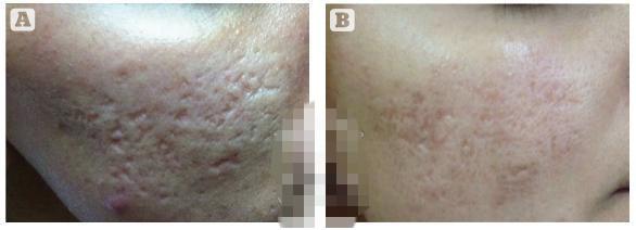
2 3次治疗前(A)后(B)活跃痤疮和痤疮瘢痕情况


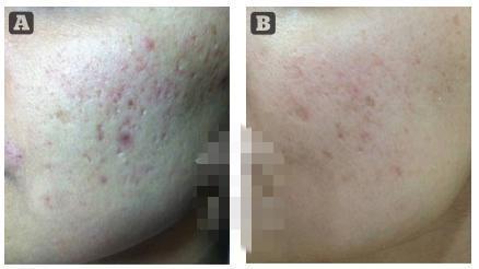
3 3次治疗前(A)后(B)活跃痤疮和痤疮瘢痕情况

 

 

 

 

优米app下载ios皮肤科致力于皮肤微整事业~~缔造无暇肌肤,还您璀璨人生!

垂询热线:0516——83902308

 

Baidu
app优米